بی الٹراساؤنڈ میں کیا فرق ہے،رنگین ڈوپلر الٹراساؤنڈاور ڈوپلر الٹراساؤنڈ؟
بی الٹراساؤنڈ الٹراساؤنڈ ہے؟ چار جہتی، تین جہتی، بی الٹراساؤنڈ، اور رنگ الٹراساؤنڈ بادلوں اور دھند میں غیر واضح ہیں؟ کیا الٹراساؤنڈ میں تابکاری ہوتی ہے؟ وہ کس طرح مشکل کاموں کو پورا کرتے ہیں؟ کیا رنگ الٹراساؤنڈ رنگین الٹراساؤنڈ ہے؟ [جی جی] quot؛
1. الٹراساؤنڈ کیسے کام کرتا ہے؟
الٹراساؤنڈ کمپن لہر کی ایک قسم ہے، جو پانی یا ہوا جیسے ذرائع ابلاغ کے ذریعے منتقل ہوتی ہے۔ انسانی کان صرف 20-20000 ہرٹز (20-20000 کمپن فی سیکنڈ) کی آواز کی لہر کو محسوس کر سکتا ہے۔ جب فریکوئنسی 20000 ہرٹز سے زیادہ ہوتی ہے، تو انسان سن رہے ہوتے ہیں نہیں، اس قسم کی آواز کی لہر جسے انسان محسوس نہیں کر سکتا الٹراساؤنڈ ہے۔
الٹراساؤنڈ امتحان الٹراساؤنڈ آلات کو الٹراساؤنڈ لہروں کو بھیجنے کے لیے استعمال کرتا ہے جنہیں انسان نہیں سن سکتے۔ ایک ذریعہ کے طور پر، یہ مختلف انسانی اعضاء کا سامنا کرتا ہے اور مختلف بازگشت پیدا کرتا ہے۔ الٹراساؤنڈ کا سامان موصول ہونے والی مختلف بازگشت کی بنیاد پر اور ہر عضو کی منتقلی کے مطابق تجزیہ کرتا ہے۔ ایک مخصوص عضو کی مقامی پوزیشن کا پتہ لگانے کے لیے مختلف اوقات میں بازگشت۔ بازگشت کی طاقت کے مطابق یہ بھی طے کیا جا سکتا ہے کہ عضو کی خصوصیات نارمل ہیں یا غیر معمولی۔ الٹراساؤنڈ کے ذریعے، ہم انسانی جسم کی ساخت، سائز اور مقام کا اندازہ لگا سکتے ہیں جسے ہم عام طور پر نہیں دیکھ سکتے...
2. امیجنگ کے لیے کم آواز کی لہروں کا انتخاب کیوں نہیں کرتے؟
الٹراساؤنڈ کی طول موج چھوٹی ہوتی ہے۔ الٹراسونک فریکوئنسی جتنی زیادہ ہوگی، طول موج اتنی ہی کم ہوگی، دو پوائنٹس کے درمیان فاصلہ اتنا ہی کم ہوگا جنہیں یہ حل کرسکتا ہے، ریزولیوشن اتنا ہی زیادہ ہوگا، اور ماپا جانے والے ٹشو کی نفاست اتنی ہی زیادہ ہوگی۔ لہذا، دوا الٹراساؤنڈ اکثر جانچ کے لئے استعمال کیا جاتا ہے.
الٹراساؤنڈ غیر جارحانہ ہے، اور ضرورت پڑنے پر ہم اسے کئی بار دہرا سکتے ہیں۔
الٹراساؤنڈ ایک حقیقی وقت کا پتہ لگانا ہے۔ جب جنین حرکت کر رہا ہوتا ہے تو ہم اس کا درست مشاہدہ کر سکتے ہیں۔ لہذا، الٹراساؤنڈ بڑے پیمانے پر قبل از پیدائش کے امتحانات میں استعمال ہوتا ہے۔
طبی الٹراساؤنڈ آلات سے خارج ہونے والی الٹراسونک لہروں کی فریکوئنسی تقریباً 3 سے 5 ملین ہرٹز ہے، جو آواز کی لہروں کی فریکوئنسی کی بالائی حد سے 100 گنا زیادہ ہے جسے انسان سن سکتے ہیں۔ انسان ان آلات کی آواز نہیں سن سکتا۔
3. کیا الٹراساؤنڈ سے بچے کو تابکاری ہوتی ہے؟
تابکاری سے مراد خلا اور ذرائع ابلاغ کے ذریعے لہروں یا ذرات کی شکل میں خارج ہونے والی یا منتقل ہونے والی توانائی ہے، جس میں ہم ہر وقت استعمال کرتے ہیں: (غیر آئنائزنگ تابکاری) مرئی روشنی، انفراریڈ، مائکروویو، ریڈیو لہریں، بہت کم فریکوئنسی لہریں، تھرمل تابکاری
بہت کم لوگوں کو یہ فکر ہے کہ نظر آنے والی روشنی اور آواز کی لہریں ہمیں نقصان پہنچائیں گی، حالانکہ یہ بھی ایک قسم کی تابکاری ہے۔ لوگ اکثر" کے بارے میں فکر مند رہتے ہیں؛ کیا تابکاری ہے"؛ اصل میں آئنائزنگ ریڈی ایشن سے مراد ہے: الفا پارٹیکلز، بیٹا پارٹیکلز، نیوٹران، ایکس رے، وائی رے، یہ سب ہائی انرجی ریڈی ایشن ہیں، یہ اس سے متعلق ایٹموں سے الیکٹران کو دور کر سکتے ہیں، آئن بنانے کے عمل کو آئنائزیشن کہتے ہیں۔ آئنز انسانی جسم کے مختلف مالیکیولز بشمول ڈی این اے اور پروٹینز کے لیے بہت تباہ کن ہیں۔ اس قسم کی تابکاری غیر آئنائزنگ تابکاری سے زیادہ ہے۔
طب میں، اس قسم کی آئنائزنگ تابکاری کی ایپلی کیشنز موجود ہیں، لیکن معقول اور محتاط ایپلی کیشنز، جیسے سی ٹی اور ایکس رے، نسبتاً محفوظ ہیں۔ الٹراساؤنڈ ایک صوتی لہر ہے، آئنائزنگ تابکاری نہیں، اور آئنائزنگ تابکاری جیسا نقصان نہیں پہنچائے گی۔
تاہم، اگرچہ یہ آئنائزنگ تابکاری نہیں ہے، لیکن آواز کی لہریں ہمیشہ ایک قسم کی توانائی ہوتی ہیں، اور اس کے اب بھی ممکنہ امکانات موجود ہیں۔ جب توانائی بہت زیادہ ہوتی ہے، تو یہ"ionization" کے علاوہ دیگر جانداروں کے کچھ رد عمل پیدا کرے گا:" تھرموبیولوجیکل اثر"،" cavitation [GG ] quot; رجحان"؛ یہ عام طور پر اس وقت ہوتا ہے جب خوراک کی سطح روایتی تشخیصی الٹراساؤنڈ سے بہت زیادہ ہوتی ہے۔
الٹراساؤنڈ کئی دہائیوں سے کلینیکل ایپلی کیشن سے گزر چکا ہے۔ ابھی تک، اس بات کا کوئی طبی ثبوت نہیں ہے کہ پرسوتی الٹراساؤنڈ جنین پر واضح، قلیل مدتی یا طویل مدتی اثرات کا سبب بنے گا۔
4. بی الٹراساؤنڈ=الٹراساؤنڈ؟
بی الٹراساؤنڈ الٹراساؤنڈ کی صرف سب سے عام قسم ہے۔
سب سے عام، سب سے بنیادی، اور سب سے اہم: دو جہتی الٹراساؤنڈ (B-الٹرا ساؤنڈ)، جو کہ بچے کی ساخت اور سائز نارمل ہے یا نہیں اس کا مشاہدہ کرنے کے لیے ساخت کو سیاہ اور سفید کی مختلف ڈگریوں میں دکھاتا ہے۔ کچھ سرگرمیاں سیاہ نہیں ہیں ایک اور رنگ ہے۔ یہ رنگین ڈوپلر الٹراساؤنڈ نہیں ہے۔ یہ گرے اسکیل کی مختلف سطحوں کو تبدیل کرنے کے لیے صرف دوسرا رنگ استعمال کرتا ہے۔
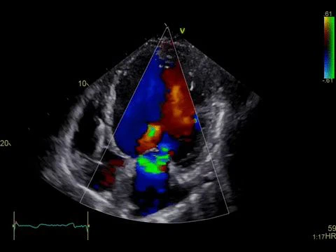
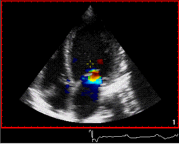
رنگین ڈوپلر الٹراساؤنڈ خون کے بہاؤ کو ظاہر کرنے کے لیے استعمال کیا جاتا ہے۔ یہ خون کے بہاؤ کی سمت اور رفتار کو ظاہر کرنے کے لیے مختلف رنگوں اور چمک کا استعمال کرتا ہے، جس سے ہمیں خون کی شریانوں اور دل کا مشاہدہ کرنے میں مدد ملتی ہے۔

بعض اوقات ڈاکٹروں کو خون کے بہاؤ کی لہر کا درست مشاہدہ کرنے کی ضرورت ہوتی ہے، اور اس کی رفتار کی پیمائش کرتے وقت، وہ دوسرے الٹراساؤنڈ پر جائیں گے: ڈوپلر الٹراساؤنڈ۔ حاملہ مائیں تین جہتی اور سے سب سے زیادہ واقف ہوسکتی ہیں۔چار جہتی الٹراساؤنڈ

سہ جہتی اور چار جہتی الٹراساؤنڈ: جمع کی گئی جہاز کی تصاویر کو آلے میں الٹراساؤنڈ کنورژن سافٹ ویئر کے ذریعے سہ جہتی، سہ جہتی اور چار جہتی تصاویر میں تبدیل کیا جاتا ہے۔ یہ ڈسپلے موڈ چیزوں کو ننگی آنکھ سے دیکھنے کی عادت کے قریب ترین ہے۔ حاملہ ماں اور والد عام طور پر یہ ڈسپلے موڈ پسند کرتے ہیں۔ تین جہتی اور چار جہتی الٹراساؤنڈ جنین کی اسامانیتاوں کو جانچنے میں ماہر امراض نسواں کی مدد کر سکتا ہے۔ اس وقت سب سے بڑا کردار حاملہ والدین کو یاد رکھنے کے لیے تصویر کھینچنا اور تصویر ریکارڈ کرنا ہے۔ تشخیص کے نقطہ نظر سے، ان کا کردار نسبتا محدود ہے.









